2.4: Lab Exercise 5- Body Tissues in Humans
- Page ID
- 72634
\( \newcommand{\vecs}[1]{\overset { \scriptstyle \rightharpoonup} {\mathbf{#1}} } \)
\( \newcommand{\vecd}[1]{\overset{-\!-\!\rightharpoonup}{\vphantom{a}\smash {#1}}} \)
\( \newcommand{\dsum}{\displaystyle\sum\limits} \)
\( \newcommand{\dint}{\displaystyle\int\limits} \)
\( \newcommand{\dlim}{\displaystyle\lim\limits} \)
\( \newcommand{\id}{\mathrm{id}}\) \( \newcommand{\Span}{\mathrm{span}}\)
( \newcommand{\kernel}{\mathrm{null}\,}\) \( \newcommand{\range}{\mathrm{range}\,}\)
\( \newcommand{\RealPart}{\mathrm{Re}}\) \( \newcommand{\ImaginaryPart}{\mathrm{Im}}\)
\( \newcommand{\Argument}{\mathrm{Arg}}\) \( \newcommand{\norm}[1]{\| #1 \|}\)
\( \newcommand{\inner}[2]{\langle #1, #2 \rangle}\)
\( \newcommand{\Span}{\mathrm{span}}\)
\( \newcommand{\id}{\mathrm{id}}\)
\( \newcommand{\Span}{\mathrm{span}}\)
\( \newcommand{\kernel}{\mathrm{null}\,}\)
\( \newcommand{\range}{\mathrm{range}\,}\)
\( \newcommand{\RealPart}{\mathrm{Re}}\)
\( \newcommand{\ImaginaryPart}{\mathrm{Im}}\)
\( \newcommand{\Argument}{\mathrm{Arg}}\)
\( \newcommand{\norm}[1]{\| #1 \|}\)
\( \newcommand{\inner}[2]{\langle #1, #2 \rangle}\)
\( \newcommand{\Span}{\mathrm{span}}\) \( \newcommand{\AA}{\unicode[.8,0]{x212B}}\)
\( \newcommand{\vectorA}[1]{\vec{#1}} % arrow\)
\( \newcommand{\vectorAt}[1]{\vec{\text{#1}}} % arrow\)
\( \newcommand{\vectorB}[1]{\overset { \scriptstyle \rightharpoonup} {\mathbf{#1}} } \)
\( \newcommand{\vectorC}[1]{\textbf{#1}} \)
\( \newcommand{\vectorD}[1]{\overrightarrow{#1}} \)
\( \newcommand{\vectorDt}[1]{\overrightarrow{\text{#1}}} \)
\( \newcommand{\vectE}[1]{\overset{-\!-\!\rightharpoonup}{\vphantom{a}\smash{\mathbf {#1}}}} \)
\( \newcommand{\vecs}[1]{\overset { \scriptstyle \rightharpoonup} {\mathbf{#1}} } \)
\(\newcommand{\longvect}{\overrightarrow}\)
\( \newcommand{\vecd}[1]{\overset{-\!-\!\rightharpoonup}{\vphantom{a}\smash {#1}}} \)
\(\newcommand{\avec}{\mathbf a}\) \(\newcommand{\bvec}{\mathbf b}\) \(\newcommand{\cvec}{\mathbf c}\) \(\newcommand{\dvec}{\mathbf d}\) \(\newcommand{\dtil}{\widetilde{\mathbf d}}\) \(\newcommand{\evec}{\mathbf e}\) \(\newcommand{\fvec}{\mathbf f}\) \(\newcommand{\nvec}{\mathbf n}\) \(\newcommand{\pvec}{\mathbf p}\) \(\newcommand{\qvec}{\mathbf q}\) \(\newcommand{\svec}{\mathbf s}\) \(\newcommand{\tvec}{\mathbf t}\) \(\newcommand{\uvec}{\mathbf u}\) \(\newcommand{\vvec}{\mathbf v}\) \(\newcommand{\wvec}{\mathbf w}\) \(\newcommand{\xvec}{\mathbf x}\) \(\newcommand{\yvec}{\mathbf y}\) \(\newcommand{\zvec}{\mathbf z}\) \(\newcommand{\rvec}{\mathbf r}\) \(\newcommand{\mvec}{\mathbf m}\) \(\newcommand{\zerovec}{\mathbf 0}\) \(\newcommand{\onevec}{\mathbf 1}\) \(\newcommand{\real}{\mathbb R}\) \(\newcommand{\twovec}[2]{\left[\begin{array}{r}#1 \\ #2 \end{array}\right]}\) \(\newcommand{\ctwovec}[2]{\left[\begin{array}{c}#1 \\ #2 \end{array}\right]}\) \(\newcommand{\threevec}[3]{\left[\begin{array}{r}#1 \\ #2 \\ #3 \end{array}\right]}\) \(\newcommand{\cthreevec}[3]{\left[\begin{array}{c}#1 \\ #2 \\ #3 \end{array}\right]}\) \(\newcommand{\fourvec}[4]{\left[\begin{array}{r}#1 \\ #2 \\ #3 \\ #4 \end{array}\right]}\) \(\newcommand{\cfourvec}[4]{\left[\begin{array}{c}#1 \\ #2 \\ #3 \\ #4 \end{array}\right]}\) \(\newcommand{\fivevec}[5]{\left[\begin{array}{r}#1 \\ #2 \\ #3 \\ #4 \\ #5 \\ \end{array}\right]}\) \(\newcommand{\cfivevec}[5]{\left[\begin{array}{c}#1 \\ #2 \\ #3 \\ #4 \\ #5 \\ \end{array}\right]}\) \(\newcommand{\mattwo}[4]{\left[\begin{array}{rr}#1 \amp #2 \\ #3 \amp #4 \\ \end{array}\right]}\) \(\newcommand{\laspan}[1]{\text{Span}\{#1\}}\) \(\newcommand{\bcal}{\cal B}\) \(\newcommand{\ccal}{\cal C}\) \(\newcommand{\scal}{\cal S}\) \(\newcommand{\wcal}{\cal W}\) \(\newcommand{\ecal}{\cal E}\) \(\newcommand{\coords}[2]{\left\{#1\right\}_{#2}}\) \(\newcommand{\gray}[1]{\color{gray}{#1}}\) \(\newcommand{\lgray}[1]{\color{lightgray}{#1}}\) \(\newcommand{\rank}{\operatorname{rank}}\) \(\newcommand{\row}{\text{Row}}\) \(\newcommand{\col}{\text{Col}}\) \(\renewcommand{\row}{\text{Row}}\) \(\newcommand{\nul}{\text{Nul}}\) \(\newcommand{\var}{\text{Var}}\) \(\newcommand{\corr}{\text{corr}}\) \(\newcommand{\len}[1]{\left|#1\right|}\) \(\newcommand{\bbar}{\overline{\bvec}}\) \(\newcommand{\bhat}{\widehat{\bvec}}\) \(\newcommand{\bperp}{\bvec^\perp}\) \(\newcommand{\xhat}{\widehat{\xvec}}\) \(\newcommand{\vhat}{\widehat{\vvec}}\) \(\newcommand{\uhat}{\widehat{\uvec}}\) \(\newcommand{\what}{\widehat{\wvec}}\) \(\newcommand{\Sighat}{\widehat{\Sigma}}\) \(\newcommand{\lt}{<}\) \(\newcommand{\gt}{>}\) \(\newcommand{\amp}{&}\) \(\definecolor{fillinmathshade}{gray}{0.9}\)Lab Summary: This lab gives you the opportunity to explore the core group of tissues that make up every organ in the human body. Recognizing histology slides takes time and practice! Understanding the identity, locations, and functions of the tissues you study in this lab will give you essential background for further lab work in A&P 1 and A&P 2.
Your objectives for this lab are:
- Name a tissue as belonging to one of these four categories: epithelial tissue, connective tissue, muscle tissue, nervous tissue
- Explain how the anatomical structures of a tissue supports its functions
- In histology slides, you should be able to identify each tissue, list functions for each, and list locations of each tissue, identify the associated structures, and list functions for the associated structures:
- Epithelial tissues
- Associated structures: Apical edge and basal edge of an epithelial tissue, nuclei, cilia, goblet cell
- Simple squamous epithelium
- Simple cuboidal epithelium
- Simple columnar epithelium
- Stratified squamous epithelium
- Transitional epithelium
- Pseudostratified ciliated columnar epithelium
- Connective tissues
- Associated terms: Fibers (collagen, reticular fibers, and elastin), Matrix, nuclei § Areolar connective tissue
- Adipose connective tissue
- Reticular connective tissue
- Dense regular connective tissue § Dense irregular connective tissue § Hyaline cartilage
- Elastic cartilage
- Fibrocartilage
- Osseous tissue § Blood
- Muscle tissues
- Associated structures in skeletal muscle: striations and nucleus
- Associated structures in cardiac muscle: striations, intercalated discs, nucleus § Skeletal muscle
- Smooth muscle
- Cardiac muscle
- o Nervous tissue
- Associated structure in nervous tissue: neurons, axons, dendrites, cell bodies, nucleus
- Nervous tissue itself is the only type of nervous tissue
- Epithelial tissues
Background Information
The term tissue is used to describe a group of cells found together in the body. Cells in the same tissue share structural features and are arranged in an orderly pattern that achieves the tissue’s functions. Although there are many types of cells in the human body, they are organized into four broad categories of tissues: epithelial, connective, muscle, and nervous. Each of these tissue types is characterized by specific functions that contribute to the overall health and maintenance of the organs they comprise and the human body as a whole.
Epithelial tissue, also referred to as epithelium, refers to the sheets of cells that cover exterior surfaces of the body, lines internal cavities and passageways, and forms certain glands. Connective tissue, as its name implies, binds the cells and organs of the body together and functions in the protection, support, and integration of all parts of the body. Muscle tissue is excitable, responding to stimulation and contracting to provide movement. Nervous tissue is also excitable, allowing the propagation of electrochemical signals in the form of nerve impulses that allow communication between different regions of the body.
The next level of organization is the organ, where several types of tissues come together to form a working unit. Just as knowing the structure and function of cells helps you in your study of tissues, knowledge of tissues will help you understand how organs function. Epithelial and connective tissues will be covered in this lesson while muscle and nervous tissues will be covered in the next lesson.
Activity 5.1: Epithelial Tissues
Most epithelial tissues are essentially large sheets of cells covering all the surfaces of the body exposed to the outside world and lining the outside of organs. The cells of an epithelium act as gatekeepers of the body controlling permeability and allowing selective transfer of materials across a physical barrier. All substances that enter the body must cross an epithelium. Some epithelia often include structural features that allow the selective transport of molecules and ions across their cell membranes. Epithelium also forms much of the glandular tissue of the body. Skin is not the only area of the body exposed to the outside. Other areas include the airways, the digestive tract, as well as the urinary and reproductive systems, all of which are lined by an epithelium. Hollow organs and body cavities that do not connect to the exterior of the body, which includes, blood vessels and serous membranes, are lined by endothelium (plural = endothelia), which is a type of epithelium.
All epithelia share some important structural and functional features:
-
Highly cellular: contain mostly cells with little or no extracellular material present between cells.Adjoining cells form a specialized intercellular connection between their cell membranes called a cell junction. Tight junctions also contribute to stable connections between cells. Gap junctions allow for the passage of substances between epithelial cells.
-
Polarity: exhibit an apical surface and a basal surface. The apical facing surface of the cell lies on the lumen side of hollow organs; the basal surface is closest to the underlying body structures Farthest away from the lumen (Figure \(\PageIndex{1}\)). The basal lamina, a mixture of glycoproteins and collagen, provides an attachment site for the epithelium, separating it from underlying connective tissue. The basal lamina attaches to a reticular lamina, which is secreted by the underlying connective tissue, forming a basement membrane that helps hold it all together.
-
Avascularity: complete (or, nearly complete) lack of direct blood flow. Since no blood vessels cross the basement membrane to enter the tissue, nutrients must come by diffusion or absorption from underlying tissues or the surface.
-
Rapid regeneration: are capable of rapid cell division to replace damaged and dead cells. Sloughing off of damaged or dead cells is a characteristic of surface epithelium and allows our airways and digestive tracts to rapidly replace damaged cells with new cells.
-
Innervation: contain a rich supply of nerves and receptors. This connection to the nervous system is vital for bodies to understand happenings in the internal and external environments. Some epithelia contain specialized features that enable them to provide the body’s first line of protection from physical, chemical, and biological wear and tear.
-
Cilia: microscopic extensions of the apical cell membrane that are supported by microtubules (Figure 5.2). They beat in unison and move fluids as well as trapped particles. Two examples of cilia are shown below.
- Goblet cells: a mucus-secreting unicellular “gland” interspersed between the columnar epithelial cells of mucous membranes (Figure \(\PageIndex{2}\) and Figure \(\PageIndex{3}\)). These cells combine water, mucin, Immunoglobulin A, and other proteins to make mucus, which serves to capture antigens (foreign substances that may be allergens, pathogens, or other debris). Ciliated epithelia of the airway form a mucociliary escalator that sweeps particles of dust and pathogens trapped in the secreted mucus toward the throat. It is called an escalator because it continuously pushes mucus with trapped particles upward to the pharynx (throat area), where they are swallowed and destroyed in the acidic environment of the stomach.
Epithelial tissues are logically classified according to the shape of the cells and number of the cell layers formed (Figure \(\PageIndex{4}\)).
- Cell Shapes: squamous (flattened and thin), cuboidal (boxy, as wide as it is tall), or columnar (rectangular, taller than it is wide).
- Number of Cell Layers: simple epithelium (every cell rests on the basal lamina), stratified epithelium (more than one layer of cells rests on the basal lamina), pseudostratified (pseudo- = “false”, a single layer of irregularly shaped cells that give the appearance of more than one layer), or transitional (specialized stratified epithelium in which the shape of the cells can vary).
Procedure for Activity 5.1: Use the pictures in the table below to examine histology slides, locate the associated structures, and determine how the anatomy of the tissue enables its functions.
- Use the pictures in the table below to examine histology slides.
- In the picture of pseudostratified ciliated columnar epithelium, locate cilia and a goblet cell, then label them. Refer to the information and figures above or reliable internet sources for assistance. Check with your instructor, TA, or the answer key to verify your accuracy.
- In the picture of simple columnar epithelium, locate nuclei, then label one. Check with your instructor, TA, or the answer key to verify your accuracy.
- In the picture of simple columnar epithelium, locate the apical edge and the basal edge, then label them. Check with your instructor, TA, or the answer key to verify your accuracy.
- For each tissue in the following charts, describe how the anatomy of the tissue enables its functions.
|
|
Functions |
Locations
|
How does form enable function?
|
|
Simple Squamous (TM 100x)
|
Allows rapid passage of chemical molecules and compounds, including diffusion of gases in the alveoli and osmosis of water from blood vessels to tissue cells. Mesothelia secrete a serous fluid that lubricates membranes.
|
Endothelium of the lymphatic vessels and blood vessels, alveoli (air sacs) of the lungs, mesothelium (that forms the surface layer of the serous membranes lines body cavities and internal organs) |
|
|
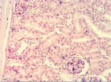
Simple Cuboidal (TM 100x)
|
Secretion and absorption of molecules |
Kidney tubules (where filtration occurs), thyroid secretory portions of gland, in ducts and small glands | |
|
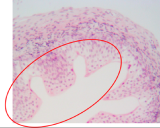
Simple Columnar (TM 100x)
|
Absorption and secretion ova and fluids, such as of molecules, such as mucus and enzymes (unciliated); movement of ova and fluids, such as mucus and cerebrospinal fluid (ciliated) |
Ventricles of the brain, stomach, small intestine, large intestine, fallopian reproductive tract, tubes of female lower bronchi |
|
|
Pseudostratified Columnar (ciliated in this view) (TM 100x)
|
Secretion of mucus and protection of sperm (unciliated); movement of mucus (ciliated) |
Trachea, nasal cavity, upper respiratory tract reproductive tract (ciliated); male (unciliated) |
|
|
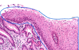
Stratified Squamous (TM 400)
|
Protects against abrasion damage; protects against and other physical chemical damage. |
Epidermis (most superficial layer of the skin) (keritanized); oral cavity (inside the mouth), anus, esophagus, pharynx, vagina (non-keritanized) |
|
|
Transitional (TM 100x)
|
Allows urinary organs to stretch and recoil to their unfilled shapes when empty |
Bladder, ureters, urethra (organs of the urinary system) |
Activity 5.2: Connective Tissues
As may be obvious from its name, one of the major functions of connective tissue is to connect and support tissues and organs. Unlike epithelial tissue, which is composed of cells closely packed with little or no extracellular space in between, connective tissue cells are dispersed in a matrix. The matrix usually includes a large amount of extracellular material produced by the connective tissue cells that are embedded within it. The matrix plays a major role in the functioning of this tissue. The major component of the matrix is a ground substance often crisscrossed by protein fibers. This ground substance is usually a fluid, but it can also be mineralized and solid, as in bones. Connective tissues come in a vast variety of forms, yet they typically have in common three characteristic components: cells, large amounts of amorphous ground substance, and protein fibers. The amount and structure of each component correlates with the function of the tissue, from the rigid ground substance in bones supporting the body to the inclusion of specialized cells, such as lymphocytes, in blood tissue.
All connective tissues derive from the first connective tissue to develop in the embryo, mesenchyme; hence, this is the stem cell line from which all connective tissues are later derived. Mesenchymal cells in mature tissues are multipotent adult stem cells. Clusters of mesenchymal cells are scattered throughout adult tissue and supply the cells needed for replacement and repair after a connective tissue injury.
There are three broad categories of connective tissue, which are classified according to the characteristics of their ground substance and the types of fibers found within the matrix. Connective tissue
proper includes loose connective tissue (areolar, adipose, and reticular tissues) and dense connective tissue (dense regular and dense irregular tissues). Both tissues have a variety of cell types and protein fibers suspended in a viscous ground substance. Dense connective tissue is reinforced by bundles of fibers that provide tensile strength, elasticity, and protection. In loose connective tissue, the fibers are loosely organized, leaving large spaces in between. Supportive connective tissue (bone and cartilage) provide structure and strength to the body and protect soft tissues. A few distinct cell types and densely packed fibers in a matrix characterize these tissues. In fluid connective tissue (blood tissue and its derivative lymph), various specialized cells circulate in a watery fluid containing salts, nutrients, and dissolved proteins.
Connective tissues contain a large number of diverse cells (Figure 5.5). These cells are an important factor in determining the tasks each tissue can accomplish. Some of these cells include:
- Fibroblasts: most abundant cell present in all connective tissue proper. They produce a viscous ground substance that, with embedded fibrous proteins, forms the extra-cellular matrix. Fibroblasts also produce collagen, elastin, and reticular fiber.
- Adipocytes: cells that store lipids as droplets that fill most of the cytoplasm. There are two basic types of adipocytes: white and brown. Brown adipocytes store lipids as many droplets and have high metabolic activity. White adipocytes store lipids as a single large drop and are metabolically less active. The number and type of adipocytes depends on the tissue and location and vary among individuals in the population. Generally, humans have synthesized most adipocytes they will have by the end of adolescence.
- Macrophages: a large cell derived from a monocyte, a type of blood cell, which enters the connective tissue matrix from the blood vessels. Macrophages are an essential component of the immune system because they move rapidly to engulf infectious agents and cellular debris. In doing so, they work as “security guards” by capturing these antigens and presenting them to other white blood cells who determine further defensive actions.
- Lymphocytes: a type of white blood cell. Their functions include directing immune system responses, detecting foreign particles, and secreting antibodies.
- Mast cells: a cell that contains granules of histamine and heparin. When irritated or damaged, mast cells release histamine, an inflammatory mediator, which causes vasodilation and increased blood flow at a site of injury or infection, along with itching, swelling, and redness your body recognizes as an allergic response. Like lymphocytes and macrophages, mast cells are derived from hematopoietic stem cells and are part of the immune system.
Connective tissues also contain essential protein fibers (Figure \(\PageIndex{5}\)). Along with the ground substance composition and cells contained within the tissues, these fibers are another important factor in determining the tasks each tissue can accomplish. Three main types of fibers are secreted by fibroblasts: collagen fibers, elastic fibers, and reticular fibers.
- Collagen fibers: a group of fibrous protein subunits linked together to form long, straight fibers. Collagen fibers have some flexibility, their greatest assist is tensile strength. Tensile strength resists stretching and give ligaments and tendons their characteristic resilience and strength. Collagen fibers are strong enough to resist up to 2000 pounds of pulling force before breaking. In histology slides, collagen fibers often appear as thick pink fibers.
- Elastic fibers: a group of proteins that contain the protein elastin along with lesser amounts of other proteins and glycoproteins. The main property of elastin is that after being stretched or compressed, it will return to its original shape. Elastic fibers are prominent in elastic tissues found in skin and the elastic ligaments of the vertebral column. In histology slides, elastin fibers often appear as thin purple fibers.
- Reticular fibers: formed from the same protein subunits as collagen fibers, but reticular fibers remain narrow and are arrayed in a branching network. They are found throughout the body, but are most abundant in the reticular tissue of soft organs, such as the liver, spleen, and tonsils. In these organs, they anchor and provide structural support to the parenchyma (the functional cells, blood vessels, and nerves of the organ). In histology slides, reticular fibers often appear as thick, branched purple fibers.
Blood tissue is a fluid connective tissue (Figure \(\PageIndex{6}\)), whose cells circulate in a liquid extracellular matrix (plasma). The formed elements circulating in blood are all derived from hematopoietic stem cells located in red bone marrow. Erythrocytes (red blood cells) transport oxygen and some carbon dioxide. Leukocytes (white blood cells) are responsible for defending against potentially harmful microorganisms or molecules. Platelets are cell fragments involved in blood clotting. Nutrients, salts, and wastes are dissolved in the liquid matrix and transported through the body. Other chemicals, such as hormones and antibodies, use the plasma as a “liquid Uber” to transport them around the body.
Osseous tissue (also known as bone tissue) is the hardest connective tissue (Figure \(\PageIndex{7}\)). It provides protection to internal organs and supports the body’s physical structure. Bone’s rigid extracellular matrix contains mostly collagen fibers embedded in a mineralized ground substance containing hydroxyapatite, a form of calcium phosphate. Both components of the matrix, organic and inorganic, contribute to the unusual properties of bone. Without collagen, bones would be brittle and shatter easily. Without mineral crystals, bones would flex and provide little support. Osteocytes, bone cells like chondrocytes, are located within lacunae. The histology of transverse tissue from long bone shows a typical arrangement of osteocytes in concentric circles around a central canal. Bone is a highly vascularized tissue. Unlike cartilage, bone tissue can recover from injuries in a relatively -short time.
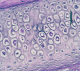
The three main types of cartilage tissue are hyaline cartilage, fibrocartilage, and elastic cartilage (Figure \(\PageIndex{8}\)). The distinctive appearance of cartilage is due to polysaccharides called chondroitin sulfates, which bind with ground substance proteins to form proteoglycans. Embedded within the cartilage matrix are chondrocytes (cartilage cells); these cells reside in spaces called lacunae (singular = lacuna). Cartilages are avascular, thus all nutrients need to diffuse through the matrix to reach the chondrocytes. This is a major factor contributing to the very slow healing of cartilaginous tissues.
Hyaline cartilage, the most common type of cartilage in the body, consists of short and dispersed collagen fibers and contains large amounts of proteoglycans. Under the microscope, tissue samples appear clear. The surface of hyaline cartilage is smooth. Both strong and flexible, it is found in the rib cage and nose and covers the ends of bones where they meet to form moveable joints. It makes up a template of the embryonic skeleton before bone formation. A plate (the “growth plate”) of hyaline cartilage at the ends of bone allows continued growth until adulthood. Fibrocartilage is tough because it has thick bundles of collagen fibers dispersed through its matrix. Menisci (pads of fibrocartilage) in the knee joint, the intervertebral discs (which lay between vertebrae in the spine), and the pubic symphysis (a pad of fibrocartilage between the pubic bones) are examples of fibrocartilage. Elastic cartilage contains elastic fibers as well as collagen and proteoglycans. This tissue provides support with the added benefit of elasticity. Tug gently at your lobes, and notice that the lobes return to their initial shape. The pinna (external ear) and the epiglottis (a fold of elastic tissue that prevents food/liquids from entering the respiratory tract) contain elastic cartilage.
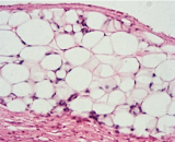
Adipose tissue consists mostly of fat storage cells, with little extracellular matrix (Figure \(\PageIndex{9}\)). A large number of capillaries allow rapid storage and mobilization of lipid molecules. White adipose tissue is most abundant. It can appear yellow and owes that color to carotene and related pigments from plant food. White fat contributes mostly to lipid storage and can serve as insulation from cold temperatures and mechanical injuries. White adipose tissue can be found protecting the kidneys and cushioning the back of the eye. Brown adipose tissue is more common in infants, hence the term “baby fat.” In adults, there is a reduced amount of brown fat and it is found mainly in the neck and clavicular regions of the body. The many mitochondria in the cytoplasm of brown adipose tissue help explain its efficiency at metabolizing stored fat. Brown adipose tissue is thermogenic, meaning that as it breaks down fats, it releases metabolic heat, rather than producing adenosine triphosphate (ATP), a key molecule used in metabolism.
Areolar tissue shows little specialization (Figure \(\PageIndex{10}\)). It contains many of the cell types and fibers previously described and is distributed in a random, web-like fashion. It fills the spaces between muscle fibers, surrounds blood and lymph vessels, and supports organs in the abdominal cavity. Areolar tissue underlies most epithelia and represents the connective tissue component of epithelial membranes.
Reticular tissue is a mesh-like, supportive framework for soft organs such as lymphatic tissue, the spleen, and the liver (Figure \(\PageIndex{11}\)). Reticular cells produce the reticular fibers that form the network onto which other cells attach. It derives its name from the Latin reticulus, which means “little net.”
Dense connective tissues contain more collagen fibers than do loose connective tissues. As a consequence, they display greater resistance to stretching. There are two major categories of dense connective tissue: dense regular and dense irregular.
Dense regular connective tissue fibers are parallel to each other, enhancing tensile strength and resistance to stretching in the direction of the fiber orientations (Figure 5.12). Ligaments, tendons, and aponeuroses are made of dense regular connective tissue, but in ligaments not all fibers are parallel. Dense regular elastic tissue (which is a separate tissue from simple dense regular connective tissue) contains some elastin fibers in addition to the predominating collagen fibers, which allows the ligament to return to its original length after stretching. However, ligaments in most parts of the skeleton are only able to stretch to ~110% of their normal length before sustaining damage. The ligaments in the vocal folds and between the vertebrae in the vertebral column are elastic.
In dense irregular connective tissue, the direction of fibers is random (Figure \(\PageIndex{12}\)). This arrangement gives the tissue greater strength in all directions and less strength in one particular direction. In some tissues, fibers crisscross and form a mesh. In other tissues, stretching in several directions is achieved by alternating layers where fibers run in the same orientation in each layer, and it is the layers themselves that are stacked at an angle. The dermis of the skin is an example of dense irregular connective tissue rich in collagen fibers. Dense irregular elastic tissue (which is a separate tissue from simple dense regular connective tissue) give arterial walls the strength and the ability to regain original shape after stretching ().
Procedure for Activity 5.2: Use the pictures in the table below to examine histology slides, locate the associated structures, and determine how the anatomy of the tissue enables its functions.
- Use the pictures in the table below to examine histology slides.
- In the picture of blood tissue, locate erythrocytes, then label them. Refer to the information and figures above or reliable internet sources for assistance. Check with your instructor, TA, or the answer key to verify your accuracy.
- In the picture of hyaline cartilage, locate chondrocytes, then label them. Refer to the information and figures above or reliable internet sources for assistance. Check with your instructor, TA, or the answer key to verify your accuracy.
- In the picture of elastic cartilage, locate chondrocytes and elastin fibers, then label them. Refer to the information and figures above or reliable internet sources for assistance. Check with your instructor, TA, or the answer key to verify your accuracy.
- In the picture of fibrocartilage, locate chondrocytes and collagen fibers, then label them. Refer to the information and figures above or reliable internet sources for assistance. Check with your instructor, TA, or the answer key to verify your accuracy.
- In the pictures of dense regular and dense irregular connective tissue, locate collagen fibers and fibroblasts, then label them. Refer to the information and figures above or reliable internet sources for assistance. Check with your instructor, TA, or the answer key to verify your accuracy.
- In the picture of adipose tissue, locate adipocytes, then label them. Refer to the information and figures above or reliable internet sources for assistance. Check with your instructor, TA, or the answer key to verify your accuracy.
- In the picture of areolar tissue, locate collagen fibers and elastin fibers, then label them. Refer to the information and figures above or reliable internet sources for assistance. Check with your instructor, TA, or the answer key to verify your accuracy.
- In the picture of reticular tissue, locate lymphocytes, then label them. Refer to the information and figures above or reliable internet sources for assistance. Check with your instructor, TA, or the answer key to verify your accuracy.
- For each tissue in the following charts, describe how the anatomy of the tissue enables its functions.
|
Functions |
Locations |
How does form enable function? |
|
|
Blood Tissue (TM 100x, left; TM 400x, right)
|
Transport of nutrients (such as glucose, water, fatty acids); transport of respiratory gases, transport of hormones and antibodies; protection from blood loss |
Within blood vessels and within the heart chambers
|
|
|
Osseous Tissue / Bone Tissue (TM 100x) |
Support for body and soft organs; protection of the other vital organs; serve minerals, such as calcium brain, spinal cord, and as levers for muscle action; storage of and phosphorus; bones; triglyceride (fat) hematopoiesis in red bone marrow of some storage; production of hormones, such as osteocalcin |
In bones (such as femur, ribs, vertebrae) |
|
|
Hyaline Cartilage (TM 100x)
|
Provides strong support with some flexibility |
Costal cartilages (located between the ribs and the sternum); in the external nose; covers the ends of bones (where they meet to form moveable joints); the embryonic skeleton; epiphyseal plate(the“ growth plate” of bones; rings of the trachea |
|
|
Elastic Cartilage (TM 100x)
|
Provides support with some elasticity |
Pinna of the ear (external ear); the epiglottis (a fold of elastic tissue that prevents food/liquids from entering the respiratory tract) |
|
|
Fibrocartilage (TM 100x)
|
Provides support and resistance from compression forces |
Menisci of the knee joints (pads of fibrocartilage between the femur and tibia); the intervertebral discs (which lay between vertebrae in the spine); the pubic symphysis (a pad of fibrocartilage between the pubic bones) | |
|
Dense Regular Connective Tissue (TM 100x, left; TM 400x, right)
|
Withstand tension and pulling forces in the same direction of its fibers |
Tendon, ligaments, aponeuroses, dermis of the skin |
|
|
Dense Irregular Connective Tissue (TM 100x, all views)
|
Withstand tension and pulling forces in multiple directions. |
Surrounding blood vessels and nerves; joint capsules; organ capsule |
|
|
Adipose Tissue (TM 100x)
|
Stores triglycerides; insulates body from heat loss; cushions body parts kidneys, joints, and eyes) (such as the heart, against physical/ mechanical trauma |
Hypodermic (subcutaneous) layer of the skin; surrounding the eyes, kidneys, and heart; within joints (such as the knee and hip); in the breasts |
|
|
Areolar Tissue (TM 100x)
|
Fills spaces between muscle fiber; surrounds blood vessels and lymphatic vessels; supports organs in the abdominal cavity; underlies most epithelia within their basal lamina; underlies epithelial membranes | Dermis of the skin; between muscle fibers; around blood vessels, lymphatic vessels, neurons and organs in the abdominal cavity; within the basal lamina of epithelial tissues; underlies epithelial membranes | |
|
Reticular Tissue (TM 100x) |
Serves as supportive framework for lymphatic organs and digestive organs; forms part of hematopoietic tissue in bones |
Lymph nodes; tonsils; within walls of the intestines; the spleen; the liver; red bone marrow |
Activity 5.3: Muscle Tissues
Muscle tissues are characterized by properties that enable movement. Muscle cells (also called myocytes or muscle fibers) are excitable, meaning they respond to a stimulus. They are contractile, meaning they can shorten and generate a pulling force. Control of this tissue may be voluntary (under your conscious control) or involuntary (unconsciously controlled). Muscle tissues are classified into three types according to structure and function: skeletal, cardiac, and smooth (Figure 5.13)
Skeletal muscle tissue is attached to bones or other body parts, such as the skin at the corner of the lips. It contracts voluntarily (consciously) to enable locomotion, facial expressions, maintaining posture, and making facial expressions such as smiling. Additionally, skeletal muscles generate heat as a byproduct of their contraction and thus participate in thermal homeostasis. Shivering is an involuntary contraction of skeletal muscles in response to perceived lower than normal body temperature. Skeletal muscle tissue is arranged in bundles surrounded by connective tissue. Under the light microscope, muscle cells appear as long, striated (“stripes”), and multinucleated. The many nuclei are squeezed close to the sarcolemma (its cell membrane). Striations are due to the regular alternation of the contractile proteins actin and myosin, along with the structural proteins that couple the contractile proteins to connective tissues.
Cardiac muscle tissue is highly specialized and is only found in the walls of the heart. The cells of cardiac muscle, known as cardiomyocytes. Like skeletal muscle cells, cardiac muscle cells are striated; however, they are involuntarily controlled and uninucleate. In fact, cardiomyocytes can contract on their own intrinsic rhythms without any external stimulation. Moreover, cardiomyocytes are short branching cells; the end of each cell appears as a dark line called the intercalated disk. Intercalated discs have both anchoring junctions and gap junctions. The attachment junctions hold adjacent cells together across the dynamic pressure changes incurred as the heart pumps blood during cardiac cycles.
Smooth muscle tissue contains short, spindle-shaped myocytes. Although actin and myosin are present, there are no evident striations. Each cell contains a single central nucleus (uninucleate cells). Like cardiac muscle, smooth muscle is also under involuntary control. Contraction of smooth muscle is responsible for activities such as pupil constriction in bright light, expulsion of a baby during childbirth, part of the swallowing reflex, defecation, urination, and movement of foodstuff through the digestive tract.
Procedure for Activity 5.3:
- Use the pictures in the table below to examine histology slides.
- In the pictures of cardiac muscle, locate striations, intercalated discs, and nuclei, then label one of each structure. Check with your instructor, TA, or the answer key to verify your accuracy.
- In the picture of skeletal muscle, locate striations and nuclei, then label one of each structure. Check with your instructor, TA, or the answer key to verify your accuracy.
- For each tissue in the following charts, describe how the anatomy of the tissue enables its functions.
| Functions | Locations | How does form enable function? | |
|
Smooth Muscle—Longitudinal Section (TM 100x)
|
Produces involuntary movements, moves food, involuntary control of respiration, moves secretions, regulates flow of blood in arteries by contraction | Bladder, stomach, small intestine, large intestine, uterus, lower esophagus, iris of the eye, around bronchi and bronchioles of the airways | |
|
Cardiac Muscle—Longitudinal Section (TM 400x)
|
Involuntarily contracts to pump blood |
In the heart |
|
|
Skeletal Muscle—Longitudinal Section (TM 400x)
|
Voluntary movement of muscles attached to the skeleton, contraction causes heat production, protects organs, enables humans to make facial expressions | Attached to bones (e.g. biceps brachii, rotator cuff muscles, hamstring muscles) and around entrance points to body (e.g., mouth, anus) |
Activity 5.4: Nervous Tissue
Nervous tissue is characterized as being excitable and capable of sending and receiving electrochemical signals that provide the body with information. In simple terms, its function is to send and receive electrical signals. Nervous tissue is located in the spinal cord, brain, nerves, and sensory receptors. Two main classes of cells make up nervous tissue: the neuron and the neuroglia (Figure \(\PageIndex{14}\) and Figure \(\PageIndex{15}\)).
Neurons propagate information via electrochemical impulses, called action potentials, which are biochemically linked to the release of chemical signals. Signals are receive by dendrites to the cell body, then on to the axon. The axon then sends action potentials to the dendrites of another neuron or causes the incitement of an action by a gland or muscle cell. In the slides, you will look at neurons appear as large kite-shaped or star-shaped cells.
Neuroglia play an essential role in supporting neurons and modulating their information propagation. In the slides you will view, you will usually only see their nuclei in the matrix surrounding the neurons. The word “glia” comes from the Greek word for glue. Their functions include regulation of ion concentration in the intercellular space, uptake and/or breakdown of some neurotransmitters, formation of the blood- brain barrier (the membrane that separates the circulatory system from the brain), protection against infection, synthesis of myelin, and provide a “scaffolding” for cells within the gelatinous tissue (Figure \(\PageIndex{15}\)).
Procedure for Activity 5.4:
- Use the pictures in the table below to examine the nervous tissue slide using the 10x and 40x objectives.
- Locate the associated structures (neuron, dendrite, axon, glial/neuroglial cells) and label them in the picture below.
- For each tissue in the following charts, describe how the anatomy of the tissue enables its functions.
| Functions | Locations | How does form enable function? | |
|
Nervous Tissue (TM 100x)
|
Sends and receives electrical signals to coordinate body activities, intake sensory information, and output motor information | in the spinal cord, brain, nerves, and sensory receptors |
Additional Learning Resources:
- Watch this video to learn about epithelial tissues: https://www.youtube.com/watch?v=UZM-P2n3e5U
- Watch this video to learn about muscle and nervous tissues: https://www.screencast.com/t/sc9o3eD7wJX
- Watch this video to learn about connective tissues:
- Practice identifying histology slides here:
- https://webanatomy.umn.edu/histology
- http://academic.pgcc.edu/~aimholtz/AandP/PracPrac/2050_Lab5/Lab5_EpithelialTissues.html
- http://academic.pgcc.edu/~aimholtz/AandP/PracPrac/2050_Lab6/Lab6_ConnectiveTissue.html
- (#4, 5, and 6 only)
- http://academic.pgcc.edu/~aimholtz/AandP/PracPrac/2050_Lab22/musclehisto.html
- https://mypages.valdosta.edu/dodrobin/2651/Powerpoint/HistoPracticePractical_files/v3_document.htm
- Play Jeopardy! This jeopardy powerpoint includes directions and sound effects so you can play at home and test your tissue knowledge: Name That Tissue Jeopardy Style.pptx (found in the Canvas Module containing the electronic copy of the lab manual)





















